Jul 28, · 赤ちゃんのあせもが出来やすい代表的な部分は 頭やおでこ;Feb 28, · おしりふきに、 赤ちゃん用の保湿クリームやオイルをつけて 刺激を感じないようしてから拭いてあげましょう。Apr 05, 19 · この記事は、赤ちゃんのあせもの原因や症状などをまとめたものです。汗をたくさんかく時期にできやすいのがあせも。赤ちゃんの体にいつの間にかびっしりできていた、という経験をしたママもいるのではないでしょうか。早めに対処すれば、つらいかゆみから赤ちゃんを守ってあげら
ぶつぶつ 赤い 腫れている おむつかぶれってどんな症状 ホームケアでできる5つのこと Mimi Stage
赤ちゃん おしり あせも
赤ちゃん おしり あせも-Oct 23, 19 · 赤ちゃんにできるあせものうち、白または透明なあせもを水晶様汗疹(すいしょうようかんしん)といいます。Sep 28, 18 · 赤ちゃんに「おむつを替えるときやおしりを拭くときに痛がる」「お風呂に入るときにお湯をかけると痛がる」「おむつを外すとおしりを掻こうとする」といった様子が見られたら、おむつかぶれのサイン。注意するようにしましょう。


あせものケアにアロマローション ママの才能発信します 手づくり表現ステージ ママステ スキル センスを表現したいママが集まってます ママステージ
Aug 28, · 赤ちゃんの顔にできるあせもの症状には、口の周りが赤くなったりガサガサしたり、かゆみを伴うことがあります。Dec 05, 17 · 赤ちゃんはおむつをしているため、特にお尻はあせもができやすい箇所です。Jun 07, 17 · 梅雨の時期、気温も湿度も高くて汗がたくさんでてくるので、あせもが気になってくる季節です。赤ちゃんはあせもができやすいので特に気にかけてあげたいですね。あせもを予防するにはどのような対策をしたらよいのかなどについて、専門の先生にお話を伺いました。
おむつかぶれや、あせも・肌荒れに。おしりのトラブルに赤ちゃんをおむつかぶれやあせも・肌荒れから守る メルシーケア 薬用おしりケアスプレー ベビースマイル あせも かぶれ 予防 薬用 スキンケア ベビー 新生児 子ども 子供 お尻 ミルクローション ベビーオイル 保湿 クリーム ベビー毎日の「あせもケア」であせもに負けない、すこかや肌に♪ 「モモセア ローション」は、便利なポンプタイプ。 片手でワンプッシュするだけなので、赤ちゃんを抱っこしながらでもラクラク。マシュマロのご購入はこちら https//bitly/3gjWWe8˜ チャンネル登録はこちらからどうぞ http//ur0work/Ydk8 まだの方は絶対見
Mar 31, 21 · 赤ちゃんの肌トラブルの中で最も多いおむつかぶれ。おしりを拭く時の摩擦や汗やおしっこなどが主な原因で、おしりや太ももの付け根、ウエスト周りなどのおむつが接触している部分によく起こります。赤くポツポツとした湿疹やただれといった炎症が見られ、アトピーやあせもと間違Oct 24, 19 · 赤ちゃんのあせもは自宅ケアで予防・対策ができる 赤ちゃんはママ・パパが思っている以上にあせもになりやすいです。 軽度のあせもであれば、自宅ケアで治すことができるため、今回ご紹介した自宅ケアを一度見直してみてくださいね。May 16, 19 · 赤ちゃんは特に汗をかきやすく、あせもができやすい傾向にあります 。


赤ちゃんの肌トラブル代表 おむつかぶれ の治し方と予防ケア N O Living公式


0歳 1歳 赤ちゃん 子どもの あせも対策 よしぱんblog
こんにちは!3歳男児と1歳女児を育児中のママライターです。 暑い時期は赤ちゃんもたくさん汗をかきます。 それに伴って、あせもやおむつかぶれになりやすいですよね。 我が家は下の子が敏感肌で、 あせもやおむつかぶれのケアがかかせませんでした。Aug 28, 19 · 赤ちゃんの場合、首やわき、ひじの内側、ひざの裏側などが皮膚がこすれて蒸れやすい部位です。May 31, 21 · 目次「頭皮あれ」を防ぐには?「あせも」対策夏も保湿ケアって不要?「ママ&キッズ」シリーズとは「ママ&キッズ」の購入は方法 高温多湿な夏は、あせもや汗かぶれなどの肌あれが心配。いつでも心地よい肌で過ごす


赤ちゃん子どものお肌のトラブルどうしてる オムツかぶれ スキンケア ままてぃプラス 子育てするママのためのサイト


おむつかぶれや あせも 数量限定アウトレット最安価格 肌荒れに おしりのトラブルに 赤ちゃんをおむつかぶれやあせも 肌荒れから守る メルシーケア 薬用 おしりケアスプレー ベビースマイル かぶれ 予防 薬用 ベビーローション お尻 保湿 子ども ミルクローション 新生児
Oct 22, 19 · 赤ちゃんは代謝がよく汗っかきで、大人よりもあせもができやすいものです。夏はもちろん、それ以外の季節でも高温多湿な状態であれば要注意。かわいい赤ちゃんが快適に過ごJul 26, 19 · 赤ちゃんに頻繁に起こるおむつかぶれとは、おむつを当てている部分がおしっこやうんちの刺激により炎症を起こし、 ブツブツした赤いあせものような湿疹が出る症状 。Apr 28, 16 · 赤ちゃんの白くて、ぷりっとして、もちっとして、ふわふわで、すべすべで、毎日頬ずりしながら「あぁーきもちえー。」ってなるおしりを傷つけるものは絶対に許さん! 断固たる決意で、赤ちゃんのおむつかぶれを防いでください。


楽天市場 おしりのトラブルに 赤ちゃんをおむつかぶれやあせも 肌荒れから守る メルシーケア 薬用おしりケアスプレー ベビースマイル あせも かぶれ 予防 薬用 スキンケア ベビー 新生児 子ども 子供 お尻 ミルクローション ベビーオイル 保湿 クリーム ベビー


知っておきたい 大人から赤ちゃんまで発症 あせも 汗疹 の原因 症状 予防法 ロート製薬 商品情報サイト
赤ちゃんをおむつかぶれやあせも・肌荒れから守る おむつ替えの新習慣。お尻のトラブルに赤ちゃんをおむつかぶれやあせも・肌荒れから守る おむつの肌荒れ対策セット (おしり洗浄器ベビーシャワー&おしりケアスプレー)スキンケア ベビー 赤ちゃん 新生児 おむつ替えJun 01, 13 · 汗っかきで肌と肌が重なる部分の多い赤ちゃんは、夏の暑い時期はあせもができやすく、汗をかきやすいおしりや頭、首回りなどによくできます。Aug 08, 19 · 赤ちゃんは汗をかきやすいため、あせもができやすいです。


赤ちゃんの肌トラブル代表 おむつかぶれ の治し方と予防ケア N O Living公式


ビーンスターク 薬用クリーム 医薬部外品 30g 雪印ビーンスタークonline ベビークリーム 通販
May , · 首、背中、おしりに多い! 子どものあせもケア方法 赤ちゃんや子どもで「あせも」ができやすいのは、首、背中、おしり、ひじの内側などです。汗をかきやすく、蒸散しにくい部位は特に気をつけましょう。Aug 11, · かゆみやヒリヒリとした痛みがあるため、 赤ちゃんがおしりに手をやって気にしたり、おしり拭きでおしりを拭くときに痛がったりすることがあります 。Feb 10, 17 · 赤ちゃんの首周りや耳の後ろなど呼吸器に近い部分でベビーパウダーを使うと、赤ちゃんが吸いこんで呼吸器疾患につながる可能性が指摘されています。 あせも・かぶれの治療効果と勘


ベビーローション ベビークリーム メルシーケア 薬用おしりケアスプレー 赤ちゃんをおむつかぶれやあせも 肌荒れから守るケアスプレー ベビースマイルショップ 通販 Paypayモール


子供の体にぶつぶつ よくある小児皮膚疾患 尼崎の にこにこクリニック
Jan 17, 18 · あせもは赤ちゃんや子どもに起きやすい皮膚の病気です。Jan 25, 16 · とってもデリケートな赤ちゃんのお肌には、たびたび皮膚トラブルがおこることも。「おむつかぶれ」も代表的なものですね。かわいい赤ちゃんのおしりが炎症を起こしていると、かわいそうで見ているパパママも辛いですね。今回は赤ちゃんのおむつかぶれ対策について現役の医師の監Mar 12, 19 · 赤ちゃんのおしりもあせもができやすい箇所の一つです。おむつの中はムレやすいので、こまめに替えて、常に清潔にしてあげてください。 暑い時期はこまめにシャワー+1日1回入浴を 夏・冬の最適な室温の目安は?


ぶつぶつ 赤い 腫れている おむつかぶれってどんな症状 ホームケアでできる5つのこと Mimi Stage


赤ちゃんのおむつかぶれ用薬おすすめ人気ランキング10選 痛み かゆみを緩和 Mybest
Jun 06, 12 · 赤ちゃんはこまめに着替えやおむつ替えをして、毎日おふろに入れていても、あせもやおむつかぶれが起きやすいです。ベビーパウダーを活用して、どうすれば予防できるかを知り、ケアに取り入れていきましょう。妊娠・出産のサポートサイト「プレママタウン」肌荒れとは無縁の"つるすべ肌"だと思われがちな赤ちゃん。実は赤ちゃんの肌は大人よりも外部刺激に影響を受けやすく、肌トラブルを起こしがちです。 「病院は受診すべき? 市販薬は使っていいの? どんなケアをしたらいいの?」ママにとっては心配だらけ。Jun 08, 19 · 赤ちゃんのあせも対策は必須だ(写真:gettyimages) また、見落としがちなのが「おしり」のあせも。 毎日おむつをしている赤ちゃんのおしりは


Amazon あかちゃんの赤くなったお肌に 医薬部外品 Dr Heart 薬用 赤ちゃんのおしりふき 1 680枚 70枚入 24パック 日本製 あせも 肌かぶれ対策に Japan Medicinal Dr Heart おしりふき


0歳 1歳 赤ちゃん 子どもの あせも対策 よしぱんblog


赤ちゃんの皮膚の病気 皮膚カンジダ症の症状とケア 医師監修 たまひよ


赤ちゃんの体にぶつぶつが出た 原因別の治し方 市販薬は 医師監修 Kosodate Life 子育てライフ


長引く下痢でお尻が真っ赤 看護師のママ友が教えてくれた赤ちゃんのお尻あれ対策 ルカコ 育児をおしゃれにスマートに


おむつかぶれや あせも 数量限定アウトレット最安価格 肌荒れに おしりのトラブルに 赤ちゃんをおむつかぶれやあせも 肌荒れから守る メルシーケア 薬用 おしりケアスプレー ベビースマイル かぶれ 予防 薬用 ベビーローション お尻 保湿 子ども ミルクローション 新生児


あせものケアにアロマローション ママの才能発信します 手づくり表現ステージ ママステ スキル センスを表現したいママが集まってます ママステージ


赤ちゃんと幼児に起きるいろいろな湿疹の治療について 日常生活でできる予防方法も 名駅ファミリアクリニック 内科 小児科


肌トラブルの原因 赤ちゃんの 汗 そのままにしていませんか 助産師監修


赤ちゃんのおむつかぶれ用薬おすすめ人気ランキング10選 痛み かゆみを緩和 Mybest


赤ちゃんや子どもに多い あせも の対策 予防法 コラム サツドラ サッポロドラッグストアー


おむつの中の湿度も上昇中 赤ちゃんのお尻かぶれ のホームケア 18年5月30日 ウーマンエキサイト 1 2


医師監修 赤ちゃんのおむつかぶれ対策 おしりの洗い方や普段のケアを解説 Cozre コズレ 子育てマガジン


ベビーパウダー 実はこんなに使える 意外な活用法5選 東京バーゲンマニア


おむつかぶれや あせも 数量限定アウトレット最安価格 肌荒れに おしりのトラブルに 赤ちゃんをおむつかぶれやあせも 肌荒れから守る メルシーケア 薬用 おしりケアスプレー ベビースマイル かぶれ 予防 薬用 ベビーローション お尻 保湿 子ども ミルクローション 新生児


赤ちゃんの肌トラブル代表 おむつかぶれ の治し方と予防ケア N O Living公式


ぶつぶつ 赤い 腫れている おむつかぶれってどんな症状 ホームケアでできる5つのこと Mimi Stage


楽天市場 お尻のトラブルに 赤ちゃんをおむつかぶれやあせも 肌荒れから守る おむつの肌荒れ対策セット おしり洗浄器ベビーシャワー おしりケアスプレー スキンケア ベビー 赤ちゃん 新生児 おむつ替え ベビースマイルショップ


ポリベビー 30g おむつかぶれ あせも 非ステロイド 第3類医薬品 を税込 送料込でお試し サンプル百貨店 ミナカラ薬局


乳児湿疹 あせも おしりかぶれのお薬 スニ子の子育てブログ


赤ちゃんのあせもの原因は 保湿や薬はどうする 予防や対策方法は 症例写真付 医師監修 Milly ミリー


赤ちゃんのあせも予防 汗疹と乳児湿疹の違い 対策グッズとは Mamioh


赤ちゃんが下痢気味で病院に おむつかぶれはポリベビーで治療 ブログ 東京近郊で注文住宅を建てる 積水ハウス Shawood 奮闘ブログ


お尻がかゆい 湿疹やぶつぶつの原因と対処 治療法 田辺三菱製薬 ヒフノコトサイト


赤ちゃんの肌荒れ 坂戸市にっさい花みず木


医師監修 赤ちゃんの湿疹の種類と原因は 乳児湿疹の症状とアトピーの見分け方 対処法や保湿ケア法を解説 小学館hugkum


楽天市場 お尻のトラブルに 赤ちゃんをおむつかぶれやあせも 肌荒れから守る おむつの肌荒れ対策セット おしり洗浄器ベビーシャワー おしりケアスプレー スキンケア ベビー 赤ちゃん 新生児 おむつ替え ベビースマイルショップ


楽天市場 おしりのトラブルに 赤ちゃんをおむつかぶれやあせも 肌荒れから守る メルシーケア 薬用おしりケアスプレー ベビースマイル あせも かぶれ 予防 薬用 スキンケア ベビー 新生児 子ども 子供 お尻 ミルクローション ベビーオイル 保湿 クリーム ベビー


薬用クリーム 薬用スキンケア 赤ちゃんのための商品 雪印ビーンスターク すこやかな笑顔のために


あせも 汗疹 皮膚症状一覧 ひふ研 ひふ症状 ひふ薬の使い方の疑問に答える情報サイト 第一三共ヘルスケア


お尻にあせも りいこのマイペース育児日記


赤ちゃんの皮膚の病気 あせもの症状とケア 医師監修 たまひよ


赤ちゃんのあせもにワセリンを塗ると悪化する理由とは マムズインフォ


小児科医監修 あせもは冬でもなる 赤ちゃんの冬場のあせもと治し方 子育て情報メディア Kidsna キズナ


医師監修 赤ちゃんのおむつかぶれの治し方 洗い方や薬ケア 病院の受診目安 Kosodate Life 子育てライフ


赤ちゃんのおむつかぶれ用薬おすすめ人気ランキング10選 痛み かゆみを緩和 Mybest


花王 メリーズ 赤ちゃんのおむつかぶれの基礎知識 おむつかぶれ


赤ちゃんのおしりかぶれ あせもに効果あり ヴェレダ カレンドラベビーバーム Mama Yukki Blog


赤ちゃんのあせも予防 おむつのムーニー 公式 ユニ チャーム


赤ちゃんのあせも対策 この時期おでかけに必須なアイテムは 2 2 Aera Aera Dot アエラドット


乳児湿疹 あせも おしりかぶれのお薬 スニ子の子育てブログ


症例写真あり おむつかぶれの原因と対策 治療法 皮膚 爪 髪の病気 All About


赤ちゃんの皮膚の病気 あせもの症状とケア 医師監修 たまひよ


おくすり教室 Vol 1あせも 赤ちゃん について ウエルシアドットコム


楽天市場 あせも おしりの通販


お尻 デリケートゾーンによく起こる皮膚トラブルの原因と対処法 田辺三菱製薬 ヒフノコトサイト


気がついたら赤ちゃんのおしりが真っ赤になってる 夏に気になる赤ちゃんの汗やあせも ママ栄養士まっきーの子育て耳寄り情報 まめコミ


ベビーパウダーの使い方いろいろ 赤ちゃんも大人にも使えるケアアイテム Mamagirl ママガール


汗も


Amazon あかちゃんの赤くなったお肌に 医薬部外品 Dr Heart 薬用 赤ちゃんのおしりふき 1 680枚 70枚入 24パック 日本製 あせも 肌かぶれ対策に Japan Medicinal Dr Heart おしりふき


おしりあせも


子供の背中にあせもが 放置で治る シャワーは逆効果 って噂は本当 こそだてハック


ベビーローション ベビークリーム メルシーケア 薬用おしりケアスプレー 赤ちゃんをおむつかぶれやあせも 肌荒れから守るケアスプレー ベビースマイルショップ 通販 Paypayモール


楽天市場 お尻のトラブルに 赤ちゃんをおむつかぶれやあせも 肌荒れから守る おむつの肌荒れ対策セット おしり洗浄器ベビーシャワー おしりケアスプレー スキンケア ベビー 赤ちゃん 新生児 おむつ替え ベビースマイルショップ


おむつかぶれにはベビーパウダーが効果的 正しい予防と対策 プレママタウン


プレゼントにも喜ばれる人気のオーガニッククリームセット ステロイドの入っていない安全なかゆみ止め 赤ちゃんのあせもやおむつかぶれのスキンケアに 3個セット メール便 送料無料 ハーバルハピネスバーム グレンジ 痒み止め かゆみ止め アトピー肌 あせも 保湿 クリーム


肌トラブルには汗も要注意 赤ちゃんのスキンケアは ベビータウン


楽天市場 おしりのトラブルに 赤ちゃんをおむつかぶれやあせも 肌荒れから守る メルシーケア 薬用おしりケアスプレー ベビースマイル あせも かぶれ 予防 薬用 スキンケア ベビー 新生児 子ども 子供 お尻 ミルクローション ベビーオイル 保湿 クリーム ベビー


肌トラブルには汗も要注意 赤ちゃんのスキンケアは ベビータウン


おむつかぶれを治そう 赤ちゃんのおしりがかぶれやすい原因は こそだてハック


汗も


あせも 赤ちゃんのお肌レスキュー おむつかぶれ あせものための市販薬 ポリベビー 佐藤製薬


赤ちゃんの皮膚の病気 あせもの症状とケア 医師監修 たまひよ


ナチュラルサイエンス 赤ちゃんに多い肌トラブルと予防法


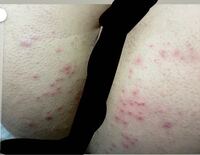
生後7ヶ月になる赤ちゃんのお尻に写真のような湿疹ができました 数日 Yahoo 知恵袋


おむつかぶれ 赤ちゃんのお肌レスキュー おむつかぶれ あせものための市販薬 ポリベビー 佐藤製薬


赤ちゃんのあせもが治らないと悩んでるママへ お家でできる即効性のある治し方 イタリア語 国際結婚 マルチリンガル子育てママブログ


さくやんママ みのりん در توییتر 汗をかきやすい赤ちゃんには夏の暑さは大敵です 赤ちゃんのお肌があせもになった時に効果があるおすすめの市販薬です T Co Geincwtfh0 あせも 暑さ対策


赤ちゃんや子供のあせも予防 対策とおすすめスキンケア商品 ナチュラルサイエンス


おくすり教室 Vol 1あせも 赤ちゃん について ウエルシアドットコム


汗も


赤ちゃんの皮膚の病気 あせもの症状とケア 医師監修 たまひよ


おむつの中の湿度も上昇中 赤ちゃんのお尻かぶれ のホームケア 18年5月30日 ウーマンエキサイト 1 2


赤ちゃんのお尻かぶれとあせも アロマママのお仕事日記


子供の体にぶつぶつ よくある小児皮膚疾患 尼崎の にこにこクリニック


ドクターマップ あせもケアは大人より赤ちゃんのほうが大変 あせも予防と治し方まとめ


お肌トラブルに負けない おしりかぶれ あせも対策 ぷーやへささげるeveryday


赤ちゃんの首や背中 脇やお尻に赤いブツブツ それは あせも かも ベビー 赤ちゃん ナチュラルサイエンス For Mama Kids Smile


赤ちゃんや子供のあせも予防 対策とおすすめスキンケア商品 ナチュラルサイエンス


おむつかぶれや あせも 数量限定アウトレット最安価格 肌荒れに おしりのトラブルに 赤ちゃんをおむつかぶれやあせも 肌荒れから守る メルシーケア 薬用 おしりケアスプレー ベビースマイル かぶれ 予防 薬用 ベビーローション お尻 保湿 子ども ミルクローション 新生児


お尻がかゆい 湿疹やぶつぶつの原因と対処 治療法 田辺三菱製薬 ヒフノコトサイト


赤ちゃん 子どもの 突然の あせも も安心 夏のお出かけマストアイテムとは 田辺三菱製薬 ヒフノコトサイト


レビュー コラージュフルフル泡石鹸は評判通り赤ちゃんの湿疹やオムツかぶれに効果抜群だった 子育てイルカが笛を吹く


赤ちゃんのおむつかぶれ用薬おすすめ人気ランキング10選 痛み かゆみを緩和 Mybest


ベビーパウダーって危険なの 医師に注意点を聞いてみた Ninaru ポッケ ニナル ポッケ


送料無料 天然成分のみで作ったオーガニッククリームセット ステロイドの入っていない安全なかゆみ止めとして 赤ちゃんのあせもやおむつかぶれのケアに 50個セット ハーバルハピネスバーム グレンジ 10ml 乾燥肌 軟膏 オーガニック お尻 おしり 漢方 赤ちゃん 子供 大人


赤ちゃん ひど いあせも おむつかぶれに ベストな予防アイテム5つ 2 2 ハピママ


赤ちゃんの肌トラブル代表 おむつかぶれ の治し方と予防ケア N O Living公式


0 件のコメント:
コメントを投稿